關於我們
醫療團隊
醫療項目
人工植牙
全口重建
舒眠植牙
微創植牙
齒列矯正
隱形矯正
美白貼片
全瓷牙冠
水雷射牙周病
顯微根管治療
All on 4/6(一日全口重建)
案例分享
門診時間
設備介紹
最新消息
關於我們
醫療團隊
醫療項目
+
–
人工植牙
全口重建
舒眠植牙
微創植牙
齒列矯正
隱形矯正
美白貼片
全瓷牙冠
水雷射牙周病
顯微根管治療
All on 4/6(一日全口重建)
案例分享
門診時間
設備介紹
最新消息
兒童斜面版
首頁
/
案例分享
/
兒童斜面版
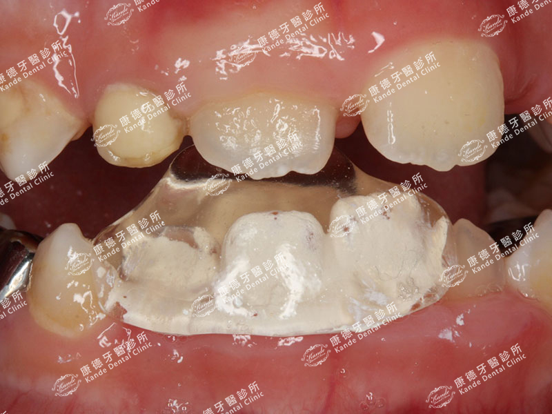
改善換牙時期的錯咬問題
治療前
斜面版
三個月後
分享到
📢
休診公告
本診所將於
10/6 (一)、10/10 (五)、10/24 (五)
休診一天。
造成不便,敬請見諒,並請提前安排就診時間,謝謝您的體諒與配合。